Processing

Please wait...

Settings

Settings

Goto Application

Offices all Languages Stemming true Single Family Member false Include NPL false
RSS feed can only be generated if you have a WIPO account

Save query

A private query is only visible to you when you are logged-in and can not be used in RSS feeds

Query Tree

Refine Options

Offices
All
Specify the language of your search keywords
Stemming reduces inflected words to their stem or root form.
For example the words fishing, fished,fish, and fisher are reduced to the root word,fish,
so a search for fisher returns all the different variations
Returns only one member of a family of patents
Include Non-Patent literature in results

Full Query

CHEM:(RFZIZXWYWPNBGL-XVFCMESISA-N)

Side-by-side view shortcuts

General
Go to Search input
CTRL + SHIFT +
Go to Results (selected record)
CTRL + SHIFT +
Go to Detail (selected tab)
CTRL + SHIFT +
Go to Next page
CTRL +
Go to Previous page
CTRL +
Results (First, do 'Go to Results')
Go to Next record / image
/
Go to Previous record / image
/
Scroll Up
Page Up
Scroll Down
Page Down
Scroll to Top
CTRL + Home
Scroll to Bottom
CTRL + End
Detail (First, do 'Go to Detail')
Go to Next tab
Go to Previous tab

Analysis

1.WO/2025/217126POLYNUCLEOTIDES, 3' CHAIN TERMINATING TAILS, LIGATION AND USES THEREOF
WO 16.10.2025
Int.Class C12N 15/11
CCHEMISTRY; METALLURGY
12BIOCHEMISTRY; BEER; SPIRITS; WINE; VINEGAR; MICROBIOLOGY; ENZYMOLOGY; MUTATION OR GENETIC ENGINEERING
NMICROORGANISMS OR ENZYMES; COMPOSITIONS THEREOF; PROPAGATING, PRESERVING, OR MAINTAINING MICROORGANISMS; MUTATION OR GENETIC ENGINEERING; CULTURE MEDIA
15Mutation or genetic engineering; DNA or RNA concerning genetic engineering, vectors, e.g. plasmids, or their isolation, preparation or purification; Use of hosts therefor
09Recombinant DNA-technology
11DNA or RNA fragments; Modified forms thereof
Appl.No PCT/US2025/023599 Applicant CONVERGENCE BIO, INC. Inventor WANG, Chong
The present disclosure provides constructs and methods for RNA ligation of 3' chain terminating tails and uses for improving nucleic acid stability and protein expression.
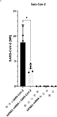
2.20250319160USE OF IFN-LAMBDA MRNA FOR TREATING VIRAL INFECTIONS
US 16.10.2025
Int.Class A61K 38/21
AHUMAN NECESSITIES
61MEDICAL OR VETERINARY SCIENCE; HYGIENE
KPREPARATIONS FOR MEDICAL, DENTAL OR TOILETRY PURPOSES
38Medicinal preparations containing peptides
16Peptides having more than 20 amino acids; Gastrins; Somatostatins; Melanotropins; Derivatives thereof
17from animals; from humans
19Cytokines; Lymphokines; Interferons
21Interferons
Appl.No 19248327 Applicant ethris GmbH Inventor Carsten Rudolph

The present invention relates to pharmaceutical compositions comprising an mRNA encoding an IFN-λ polypeptide for use in treating a viral-induced disorder, preferably a viral-induced respiratory disorder, such as COVID-19.

3.WO/2025/217135RNA LIGATION METHODS AND PRODUCTS
WO 16.10.2025
Int.Class C12N 15/10
CCHEMISTRY; METALLURGY
12BIOCHEMISTRY; BEER; SPIRITS; WINE; VINEGAR; MICROBIOLOGY; ENZYMOLOGY; MUTATION OR GENETIC ENGINEERING
NMICROORGANISMS OR ENZYMES; COMPOSITIONS THEREOF; PROPAGATING, PRESERVING, OR MAINTAINING MICROORGANISMS; MUTATION OR GENETIC ENGINEERING; CULTURE MEDIA
15Mutation or genetic engineering; DNA or RNA concerning genetic engineering, vectors, e.g. plasmids, or their isolation, preparation or purification; Use of hosts therefor
09Recombinant DNA-technology
10Processes for the isolation, preparation or purification of DNA or RNA
Appl.No PCT/US2025/023609 Applicant CONVERGENCE BIO, INC. Inventor WANG, Chong
The present disclosure provides products of and methods comprising RNA ligation. In some embodiments, the method comprises contacting an RNA ligase enzyme with (i) an acceptor RNA polynucleotide comprising a 3' hydroxyl group and (ii) a donor RNA polynucleotide.
4.2025529925安定な脂質またはリピドイドナノ粒子懸濁液
JP 09.09.2025
Int.Class A61K 47/34
AHUMAN NECESSITIES
61MEDICAL OR VETERINARY SCIENCE; HYGIENE
KPREPARATIONS FOR MEDICAL, DENTAL OR TOILETRY PURPOSES
47Medicinal preparations characterised by the non-active ingredients used, e.g. carriers or inert additives; Targeting or modifying agents chemically bound to the active ingredient
30Macromolecular organic or inorganic compounds, e.g. inorganic polyphosphates
34Macromolecular compounds obtained otherwise than by reactions only involving carbon-to-carbon unsaturated bonds, e.g. polyesters, polyamino acids, polysiloxanes, polyphosphazines, copolymers of polyalkylene glycol or poloxamers
Appl.No 2025512010 Applicant エスリス ゲーエムベーハー Inventor ドーメン,クリスチャン
安定化されている脂質ナノ粒子(LNP)/リピドイドナノ粒子(LiNP)製剤およびLNP/LiNP懸濁液、それらの使用、ならびにサーファクタントを製剤または懸濁液に添加すると凝集が回避され、驚くほど長い貯蔵寿命および振とうに対する長期的な安定性が可能になるという知見に基づく処置の方法における使用が提供される。本発明による凝集の前記低減は、本発明の製剤および懸濁液の副作用の低減、具体的には、LNPおよび/またはLiNPを含むワクチン製剤および抗がん製剤によって引き起こされる副作用の低減をもたらす。
5.120285155IFN-λmRNA治疗病毒感染的用途
CN 11.07.2025
Int.Class A61K 38/21
AHUMAN NECESSITIES
61MEDICAL OR VETERINARY SCIENCE; HYGIENE
KPREPARATIONS FOR MEDICAL, DENTAL OR TOILETRY PURPOSES
38Medicinal preparations containing peptides
16Peptides having more than 20 amino acids; Gastrins; Somatostatins; Melanotropins; Derivatives thereof
17from animals; from humans
19Cytokines; Lymphokines; Interferons
21Interferons
Appl.No 202510472800.1 Applicant 埃泽瑞斯公司 Inventor C·鲁道夫
本发明的名称是IFN‑λmRNA治疗病毒感染的用途。本发明涉及包括编码IFN‑λ多肽的mRNA的药物组合物,用于治疗病毒诱导的疾病,优选是病毒诱导的呼吸系统疾病,如COVID‑19。
6.WO/2025/144736POLYNUCLEOTIDES AND METHODS FOR GENE EDITING
WO 03.07.2025
Int.Class C12N 15/113
CCHEMISTRY; METALLURGY
12BIOCHEMISTRY; BEER; SPIRITS; WINE; VINEGAR; MICROBIOLOGY; ENZYMOLOGY; MUTATION OR GENETIC ENGINEERING
NMICROORGANISMS OR ENZYMES; COMPOSITIONS THEREOF; PROPAGATING, PRESERVING, OR MAINTAINING MICROORGANISMS; MUTATION OR GENETIC ENGINEERING; CULTURE MEDIA
15Mutation or genetic engineering; DNA or RNA concerning genetic engineering, vectors, e.g. plasmids, or their isolation, preparation or purification; Use of hosts therefor
09Recombinant DNA-technology
11DNA or RNA fragments; Modified forms thereof
113Non-coding nucleic acids modulating the expression of genes, e.g. antisense oligonucleotides
Appl.No PCT/US2024/061421 Applicant ENCELADUS BIO, INC. Inventor KITA, Ryosuke
Compounds, polypeptides, compositions, and nucleic acid molecules are provided herein that may be used, for example, to edit the genome of a cell, such as a human cell.
7.20250207163METHODS AND APPARATUS FOR SYNTHESIZING NUCLEIC ACIDS
US 26.06.2025
Int.Class C12P 19/34
CCHEMISTRY; METALLURGY
12BIOCHEMISTRY; BEER; SPIRITS; WINE; VINEGAR; MICROBIOLOGY; ENZYMOLOGY; MUTATION OR GENETIC ENGINEERING
PFERMENTATION OR ENZYME-USING PROCESSES TO SYNTHESISE A DESIRED CHEMICAL COMPOUND OR COMPOSITION OR TO SEPARATE OPTICAL ISOMERS FROM A RACEMIC MIXTURE
19Preparation of compounds containing saccharide radicals
26Preparation of nitrogen-containing carbohydrates
28N-glycosides
30Nucleotides
34Polynucleotides, e.g. nucleic acids, oligoribonucleotides
Appl.No 18850185 Applicant Molecular Assemblies, Inc. Inventor Patrycja A. Hopkins

Methods for the synthesis of polynucleotides using polymerases nucleotide analogs with labile terminator groups that allow stepwise addition of nucleotides are described. These nucleotide analogs may have a modification on 3′, 2′, or 3′-2′-bridged hydroxyl groups or on nucleobase moieties and can be used in the synthesis of natural or modified polynucleotides suitable for use in biological systems. The labile terminator groups are removed under mild conditions or by enzymes. They are accepted as substrates by polymerases. The synthesis may be carried out on a surface.

8.WO/2025/126019RNA MOLECULES
WO 19.06.2025
Int.Class A61K 39/095
AHUMAN NECESSITIES
61MEDICAL OR VETERINARY SCIENCE; HYGIENE
KPREPARATIONS FOR MEDICAL, DENTAL OR TOILETRY PURPOSES
39Medicinal preparations containing antigens or antibodies
02Bacterial antigens
095Neisseria
Appl.No PCT/IB2024/062402 Applicant PFIZER INC. Inventor MCMONAGLE, Patricia Michele
The present disclosure relates to RNA molecules encoding a Neisseria meningitidis polypeptide. The present disclosure further relates to compositions comprising the RNA molecules formulated in a lipid nanoparticle (RNA-LNP). The present disclosure further relates to the use of the RNA molecules, RNA-LNPs and compositions for the treatment and/or prevention of meningococcal disease.
9.WO/2025/126071RNA MOLECULES
WO 19.06.2025
Int.Class C12N 15/67
CCHEMISTRY; METALLURGY
12BIOCHEMISTRY; BEER; SPIRITS; WINE; VINEGAR; MICROBIOLOGY; ENZYMOLOGY; MUTATION OR GENETIC ENGINEERING
NMICROORGANISMS OR ENZYMES; COMPOSITIONS THEREOF; PROPAGATING, PRESERVING, OR MAINTAINING MICROORGANISMS; MUTATION OR GENETIC ENGINEERING; CULTURE MEDIA
15Mutation or genetic engineering; DNA or RNA concerning genetic engineering, vectors, e.g. plasmids, or their isolation, preparation or purification; Use of hosts therefor
09Recombinant DNA-technology
63Introduction of foreign genetic material using vectors; Vectors; Use of hosts therefor; Regulation of expression
67General methods for enhancing the expression
Appl.No PCT/IB2024/062510 Applicant PFIZER INC. Inventor BENNETT, Eric Matthew
The present disclosure relates to RNA molecules encoding a respiratory syncytial virus (RSV) polypeptide. The present disclosure further relates to compositions comprising the RNA molecules formulated in a lipid nanoparticle (RNA-LNP). The present disclosure further relates to the use of the RNA molecules, RNA-LNPs and compositions for the treatment and/or prevention of RSV infection-induced acute respiratory tract illness, including pneumonia and bronchitis.
10.120153078编码RSV-F的RNA分子及含所述RNA分子的疫苗
CN 13.06.2025
Int.Class C12N 15/45
CCHEMISTRY; METALLURGY
12BIOCHEMISTRY; BEER; SPIRITS; WINE; VINEGAR; MICROBIOLOGY; ENZYMOLOGY; MUTATION OR GENETIC ENGINEERING
NMICROORGANISMS OR ENZYMES; COMPOSITIONS THEREOF; PROPAGATING, PRESERVING, OR MAINTAINING MICROORGANISMS; MUTATION OR GENETIC ENGINEERING; CULTURE MEDIA
15Mutation or genetic engineering; DNA or RNA concerning genetic engineering, vectors, e.g. plasmids, or their isolation, preparation or purification; Use of hosts therefor
09Recombinant DNA-technology
11DNA or RNA fragments; Modified forms thereof
31Genes encoding microbial proteins, e.g. enterotoxins
33Genes encoding viral proteins
40Proteins from RNA viruses, e.g. flaviviruses
45Paramyxoviridae, e.g. measles virus, mumps virus, Newcastle disease virus, canine distemper virus, rinderpest virus, respiratory syncytial viruses
Appl.No 202380075365.8 Applicant 辉瑞大药厂 Inventor 陈伟
本发明涉及编码呼吸道合胞体病毒(RSV)的RNA分子。本发明进一步涉及包含调配于脂质纳米颗粒中的所述RNA分子(RNA‑LNP)的组合物。本发明进一步涉及所述RNA分子、所述RNA‑LNP及所述组合物用于治疗和/或预防包括肺炎及支气管炎的RSV感染诱导的急性呼吸道病症的用途。